Endodontie Fallbeispiele


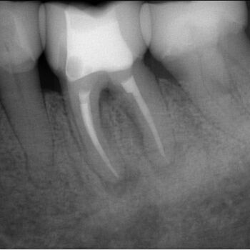
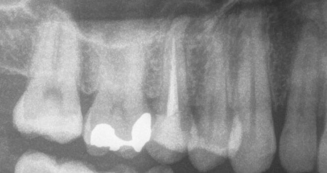
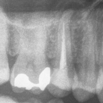
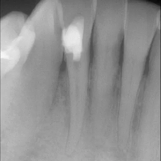
Fall 1: Revisionsbehandlung

DVT-Endodontologie-Fallbeispiele in der Zahnarztpraxis Dr. Buscot & Kollegen in Braunschweig
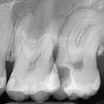
Ausgangssituation
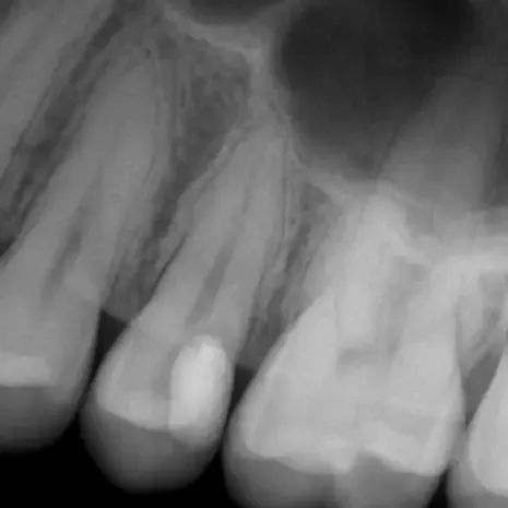
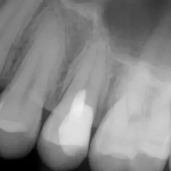
DVT-Endodontologie-Fallbeispiele in der Zahnarztpraxis Dr. Buscot & Kollegen in Braunschweig
Kontrolle nach Wurzelfüllung

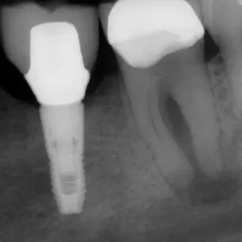
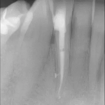
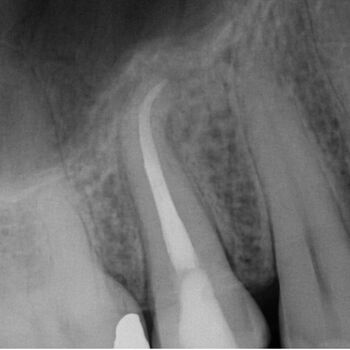
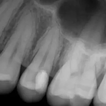
Fall 2: Entfernung eines Instrumentenfragmentes

Röntgenbild: Instrumentenfragment Ausgangssituation
Ausgangssituation
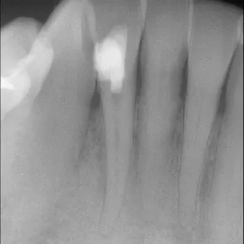
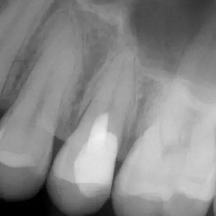
Röntgenbild: Instrumentenfragment Kontrolle nach Wurzelfüllung
Kontrolle nach Wurzelfüllung

Fall 3: Obliterierte Kanäle

DVT-Endodontologie-Fallbeispiele in der Zahnarztpraxis Dr. Buscot & Kollegen in Braunschweig
Ausgangssituation
DVT-Endodontologie-Fallbeispiele in der Zahnarztpraxis Dr. Buscot & Kollegen in Braunschweig
Kontrolle nach Wurzelfüllung

Fall 4: großer interradikulärer Entzündungsherd

Endodontie Fall 4: großer interradikulärer Entzündungsherd
Vor der Behandlung
Endodontie Fall 4: großer interradikulärer Entzündungsherd
Kontrolle nach Wurzelfüllung

Fall 5: Starke Wurzelkrümmung

Endodontie Fall 5: Starke Wurzelkrümmung
Vor der Behandlung
Endodontie Fall 5: Starke Wurzelkrümmung
Kontrolle nach Wurzelfüllung

Fall 6: Seitenkanal

Endodontie Fall 6: Seitenkanal
Vor der Behandlung
Endodontie Fall 6: Seitenkanal
Kontrolle nach der Wurzelfüllung

Behandlungsbeispiel für eine Pulpotomie

Behandlungsbeispiel für eine Pulpotomie
Vor der Behandlung
Behandlungsbeispiel für eine Pulpotomie
Kontrolle nach Pulpotomie